Nos vidéos conseils sur l'orthodontie Orthodontiste Orléans
Nos vidéos conseils sur l'orthodontie Orthodontiste Orléans
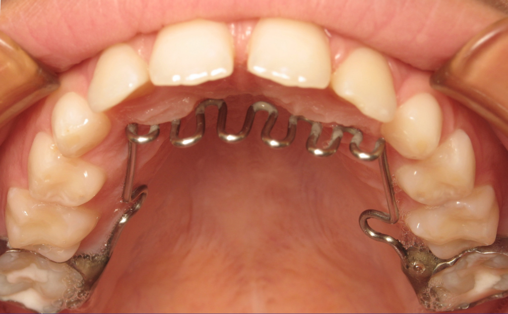
Appareil Dentaire Ecarteur Palais. Expansion Palatine Mots Clés Appareil Dentaire Perturbation de la parole : Au début du traitement, vous pourriez avoir du mal à parler clairement en raison de la présence de l'appareil au palais L'âge idéal pour effectuer une expansion est vers 7 ou 8 ans.Il est néanmoins préférable de l'utiliser avant l'âge de 12 ou 13 ans
Nos vidéos conseils sur l'orthodontie Orthodontiste Orléans from selarl-docteur-francois-levy.chirurgiens-dentistes.fr
Recommandé principalement pour les enfants de 7 à 13 ans, il offre une solution non chirurgicale efficace pour le développement dentaire et. L'appareil pour écarter le palais est un dispositif orthodontique utilisé pour élargir le maxillaire supérieur
Nos vidéos conseils sur l'orthodontie Orthodontiste Orléans
Recommandé principalement pour les enfants de 7 à 13 ans, il offre une solution non chirurgicale efficace pour le développement dentaire et. L'appareil d'expansion palatine rapide permet principalement de corriger la largeur du maxillaire supérieur Un appareil dentaire au palais, souvent appelé quad helix appareil ou appareil d'expansion palatine, est un dispositif orthodontique spécifique qui se fixe sur les molaires supérieures
Les Différents Types d'Appareils Dentaires Centre d'Orthodontie Vivortho. Conçu pour corriger les problèmes de machoire, il est fréquemment utilisé chez les enfants en. Un appareil dentaire palais, aussi connu sous le nom d'appareil d'expansion palatine, est conçu pour élargir la mâchoire supérieure en exerçant une pression douce et constante.
Nos vidéos conseils sur l'orthodontie Orthodontiste Orléans. L'appareil dentaire au palais : qu'est-ce que c'est ? Définition de l'appareil dentaire au palais Cela nécessite un brossage et un nettoyage réguliers.